어깨질환

Pro Orthopedics and Sports medicine clinic
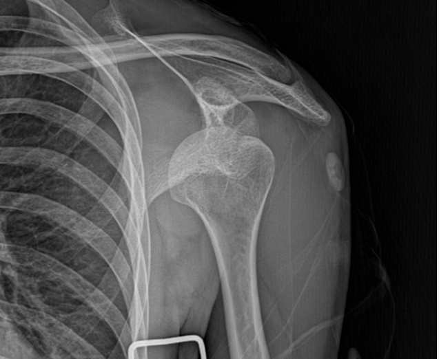
Rotator Cuff Tear

회전근개 파열이란?

회전근개 파열은 ‘회전근개’라고 불리는 어깨관절을 둘러싸고 있는
4개의 힘줄(극상근, 극하근, 소원근, 견갑하근) 중
하나 이상이 파열되는 질환
입니다.
회전근개는 어깨의 안정성을 유지하고, 팔을 들어올리고
회전시키는 동작을 가능하게 하는 중요한 역할을 담당합니다.

어깨 힘줄은 한번 파열되면 자연치유가 어려워
조기 발견과 치료가 중요합니다

회전근개는 한번 파열되면 자연적으로 회복되기 어렵고,
방치할 경우 파열 범위가 점점 커질 수 있어
조기 발견과 정확한 진단 후 적절한 치료가 매우 중요합니다.

회전근개 파열의 원인과 증상은?

Rotator Cuff Tear
회전근개 파열의 원인과 증상

어깨 힘줄 손상은 다음과 같은 원인으로 발생할 수 있습니다.
나이가 들면서 힘줄이 약해지는 퇴행성 변화, 넘어지거나 어깨에 직접적인 충격이 발생하는 외상,
어깨를 많이 사용하는 직업, 운동으로 인한 반복적인 어깨 과사용 등입니다.

  • 퇴행성 변화
  • 어깨 충격
  • 스포츠 손상
  • 반복적인 과사용

    회전근개 파열의 증상

  • 어깨를 들어올리거나 회전시킬 때 심한 통증

  • 야간 통증으로 인한 수면 장애

  • 팔을 머리 위로 올리기 어려움

  • 어깨 근력 약화

  • 일상생활 및 스포츠 활동 시 불편함

Rotator Cuff Tear

비수술 치료,
언제 어떻게 할까요?

부분파열이나 증상 초기 단계에서는
비수술적 치료를 먼저 시도할 수 있습니다.

특히, 50% 이내의 부분파열인 경우 비수술 치료를 통해
증상 호전을 기대할 수 있습니다.

  • 약물 및 주사치료

    PRP, PDRN, 콜라겐, 히알루론산,
    프롤로테라피, 스테로이드 주사 등

  • 1:1 맞춤 도수치료

    물리치료사가 직접 손으로 관절을 움직여 기능을 회복

  • 질환별 운동치료

    운동을 통한 어깨 주변 근육 강화 및 기능 회복

  • 체외충격파 치료

    충격파를 이용한 조직 재생과 회복 촉진

회전근개 파열의 수술치료, 회전근개 봉합술

Rotator Cuff Tear
회전근개 파열의 수술적 치료

회전근개 전층이 찢어진 완전파열의 경우 수술적 치료가 원칙입니다.
비수술 치료를 일정기간 시행해도 증상이 호전되지 않거나, 파열 크기가 큰 경우,
젊고 활동적인 환자, 어깨 통증으로 일상생활에 심각한 지장이 있는 경우 등에는
수술적 치료가 권장됩니다.

회전근개 봉합술이란?

회전근개 봉합술은 어깨관절에서 파열된 회전근개 힘줄을
원래 위치에 다시 부착하는 수술입니다.

파열된 힘줄을 봉합나사 등을 이용해 뼈에 단단히 고정시켜
어깨관절의 기능을 회복시킵니다.
대부분 최소침습 관절내시경 수술로 진행됩니다.

PRO의 수술치료는 다릅니다
  • 관절경 수술을 통한 작은 절개, 적은 출혈, 빠른 회복
  • 최소침습수술법을 통한 흉터 최소화
  • 부분마취로 합병증 감소와 환자 수술 안전성 향상
  • 견고한 봉합술 및 체계적인 재활관리로
    회전근개 재파열율 감소
Pro youtube

영상으로 쉽게 이해하는
치료 가이드

유튜브 바로가기
Shoulder Dislocation

어깨탈구 및 관절와순 파열이란?

어깨탈구란 상완골두(윗팔뼈의 머리부분)가
어깨관절의 정상적인 위치에서 벗어난 상태입니다.

한번 빠진 어깨가 반복적으로 빠지는 것을 습관성 어깨탈구라고 부릅니다.
습관성 어깨탈구는 젊은 연령대에서 잘 발생하며, 스포츠 선수 뿐만 아니라
일반인들 사이에서도 발생률이 높아지고 있습니다.

습관성 어깨탈구의 원인이 되는 관절와순
파열 종류와 정도에 따른 치료가 필요합니다

무심코 넘긴 어깨의 불안정감이 반복적인 탈구와
더 큰 손상으로 이어지지 않도록,
정형외과 전문의의 진단과 맞춤 치료를 받는 것이 중요합니다.

관절와순 파열의 종류

  • 방카르트 병변(Bankart lesion)

    관절와순의 앞쪽과 아래쪽 파열

  • 슬랩 병변(SLAP lesion)

    관절와순의 위쪽 파열

  • 힐삭스 병변(Hill-Sachs lesion)

    상완골두 부위의 뼈 함몰

어깨탈구의 원인과 증상은?

Rotator Cuff Tear
어깨탈구의 원인과 증상

어깨탈구는 주로 낙상사고, 스포츠 손상 등의 외상과 반복적인 어깨관절 과사용 등으로 발생합니다.
선천적으로 어깨가 유연한 것도 발생 원인이 될 수 있습니다.
어깨탈구 시 어깨관절을 둘러싼 연골조직인 관절와순이 손상될 수 있습니다.
한번 손상된 관절와순은 자연적으로 치유되기 어려워 어깨관절이
불안정해지면서 습관성 어깨탈구의 원인이 됩니다.

  • 낙상사고
  • 스포츠 손상
  • 반복적인 과사용

    어깨탈구의 증상

  • 심한 어깨통증

  • 팔의 움직임 제한

  • 팔음 움직일 때 불안정하거나 빠질 것 같은 느낌

  • 공을 던지는 동작 시 어깨통증

Shoulder Dislocation

비수술 치료,
언제 어떻게 할까요?

어깨탈구가 처음 발생했거나 관절와순 파열 정도가 심하지않다면
다양한 비수술적인 치료를 먼저 시도해 볼 수 있습니다.

  • 약물 및 주사치료

    PRP, PDRN, 콜라겐, 히알루론산,
    프롤로테라피, 스테로이드 주사 등

  • 1:1 맞춤 도수치료

    물리치료사가 직접 손으로 관절을 움직여 기능을 회복

  • 질환별 운동치료

    운동을 통한 어깨 주변 근육 강화 및 기능 회복

  • 물리치료

    물리치료로 통증 개선과 회복 촉진

어깨탈구의 수술적 치료

Shoulder Dislocation

어깨 탈구의 수술적 치료

관절와순 봉합술이란?

관절와순 봉합술은 파열된 관절와순을 봉합하여 탈구 재발을 방지하는 수술로
대부분 관절 내시경 수술로 진행됩니다.
실이 달린 나사못을 관절와에 삽입해 실로 파열부위를 봉합합니다.
관절와순 파열과 함께 어깨뼈인 관절와에 심한 골소실이 발생하면
골이식술 또는 라타젯(Latarjet) 술식을 고려합니다.
램플리사지(Remplissage) 술식은 힐삭스 병변의
뼈 함몰 크기가 큰 경우에 진행하며
후방 관절낭을 봉합해 골결손 부위를 메워주는 수술법입니다.

PRO의 수술치료는 다릅니다
  • 관절경 수술을 통한 작은 절개, 적은 출혈, 빠른 회복
  • 최소침습수술법을 통한 흉터 최소화
  • 부분마취로 합병증 감소와 환자 수술 안전성 향상
  • 견고한 수술 및 체계적인 재활관리로 재탈구 방지
Pro youtube

영상으로 쉽게 이해하는
치료 가이드

유튜브 바로가기
Frozen Shoulder

오십견이란?

오십견은 의학적으로 유착성 관절낭염 혹은 동결견이라고 부릅니다.
어깨관절을 둘러싸고 있는 관절낭에 염증과 섬유화가 발생해
두꺼워지고 유착되어 어깨 움직임이 제한되는 질환입니다.
50대 전후에 가장 많이 발생한다고 해서 오십견이라고 불리지만
최근에는 30~70대의 다양한 연령층에서 발생합니다.

정확한 오십견 진행 단계 파악 후
맞는 치료법을 실시하는 게 중요합니다

오십견(유착성 관절낭염)은 진행 단계에 따라
증상과 치료 방법이 달라지는 질환입니다.

따라서 단순한 어깨 통증이라 해도 방치하지 말고,
정확한 단계 진단을 통해 맞춤형 치료를 받는 것이 중요합니다.

오십견의 진행단계

  • 통증기

    어깨 통증이 서서히 시작
    [ 발병 후 3~6개월 ]

  • 동결기

    어깨가 굳어지고 통증이 심해짐
    [ 발병 후 6~12개월 ]

  • 용해기

    서서히 어깨가 풀리기 시작
    [ 발병 후 12~24개월 ]

오십견의 원인과 증상은?

Frozen Shoulder
오십견의 원인과 증상

오십견은 특별한 이유없이 발생하기도 하고 노화에 따른 퇴행성 변화, 회전근개파열,
석회성건염 등의 다른 어깨질환이 오십견의 발생 원인이 되기도 합니다.
남성보다는 여성에게 오십견이 더 많이 발생하며,
갑상선 질환, 당뇨병 등이 있는 환자분들에게 더 발병률이 높습니다.

  • 퇴행성 변화
  • 기타 어깨질환

    오십견의 증상

  • 어깨통증

  • 팔을 들어올리기 어려움

  • 야간에 발생하는 통증

  • 머리빗기 등의 일상생활 동작의 불편함

Frozen Shoulder

비수술 치료,
언제 어떻게 할까요?

대부분의 오십견은 비수술 치료만으로도
충분한 호전을 기대할 수 있는 질환입니다.

다만 정확한 진단과 단계에 따른 체계적인 치료가
이루어져야 효과를 볼 수 있습니다.

  • 약물 및 주사치료

    PRP, PDRN, 콜라겐, 히알루론산,
    프롤로테라피, 스테로이드 주사 등

  • 1:1 맞춤 도수치료

    물리치료사가 직접 손으로 관절을 움직여 기능을 회복

  • 질환별 운동치료

    운동을 통한 어깨 주변 근육 강화 및 기능 회복

  • 체외충격파 치료

    충격파를 이용한 조직 재생과 회복 촉진

  • 브리즈망 시술

    유착된 조직과 관절을 풀어주어
    관절의 운동을 도와주는 시술

오십견의 수술적 치료

Shoulder Dislocation

오십견의 수술적 치료

관절낭 유리술이란?

관절낭 유리술은 유착된 조직과 염증을 제거하여
어깨관절 운동범위를 회복시켜주는 수술입니다.

주로 관절 내시경 수술로 진행되며, 비수술적인 치료로 호전되지 않거나
일상생활에 지장이 심한 경우 수술을 고려합니다.

PRO의 수술치료는 다릅니다
  • 관절경 수술을 통한 작은 절개, 적은 출혈, 빠른 회복
  • 최소침습수술법을 통한 흉터 최소화
  • 부분마취로 합병증 감소와 환자 수술 안전성 향상
  • 어깨수술 후 체계적인 재활관리로 빠른 일상복귀
Pro youtube

영상으로 쉽게 이해하는
치료 가이드

유튜브 바로가기
Calcific Tendinitis

어깨에 석회가 쌓이는 석회성 건염

석회성 건염이란 어깨를 둘러싸고 있는 힘줄인 회전근개에
칼슘 성분의 석회 물질이 쌓이면서 염증과 통증을 유발하는 질환입니다.

남성보다 여성에게 더 자주 나타나며,
어깨를 많이 사용하는 직업군에서도 잘 발생합니다.

대부분의 석회성 건염은
비수술 치료만으로도 호전 가능합니다

석회성 건염은 어깨 힘줄에 석회질이 침착되면서
염증과 극심한 통증을 유발하는 질환입니다.
하지만 대부분의 경우 수술 없이도, 정확한 진단과
적절한 비수술 치료만으로 증상의 호전을 기대할 수 있습니다.

석회성 건염의 진행단계

  • 형성기

    어깨 힘줄 안에 석회가 서서히 형성되는 단계

    통증이 거의 없거나 경미한 불편감만 느껴짐

  • 유지기

    석회가 딱딱하게 굳어 형태를 유지하는 시기

    간헐적인 통증이 발생할 수 있음

  • 흡수기

    침착된 석회가 흡수되는 단계

    흡수 과정에서 염증 반응으로 극심한 통증이 발생함

석회성 건염의 원인과 증상은?

Calcific Tendinitis
석회성 건염의 원인과 증상

석회성 건염을 유발하는 정확한 원인은 의학적으로 밝혀지지 않았지만,
힘줄의 퇴행성 변화나 힘줄 눌림 현상 등과 관련이 있는 것으로 알려져 있습니다.

  • 퇴행성 변화
  • 힘줄 눌림 현상

    석회성 건염의 증상

  • 갑작스럽고 심한 어깨통증

  • 팔을 들어올리거나 뻗기가 어려움

  • 밤에 통증이 심해져 숙면을 취하기 힘들어짐

  • 어깨를 특정 각도로 움직일 때 극심한 통증

Calcific Tendinitis

비수술 치료,
언제 어떻게 할까요?

통증이 너무 심하거나, 석회가 크고 흡수가 되지 않는 경우에는
관절경을 통한 제거술이 필요할 수 있지만,

대부분의 환자는 수술 없이도 충분히 일상생활로 복귀할 수 있습니다.

  • 체외충격파 치료

    충격파를 이용한 조직 재생과 회복 촉진

  • 초음파 하 석회제거술

    초음파로 석회의 위치를 실시간으로 확인하며,
    주사기로 석회질을 제거하는 비수술적 치료

  • 질환별 운동치료

    운동을 통한 어깨 주변 근육 강화 및 기능 회복

  • 약물 및 주사치료

    PRP, PDRN, 콜라겐, 히알루론산,
    프롤로테라피, 스테로이드 주사 등

  • 1:1 맞춤 도수치료

    물리치료사가 직접 손으로 관절을 움직여 기능을 회복

석회성 건염의 수술적 치료

Calcific Tendinitis

석회성 건염의 수술적 치료

석회 제거술이란?

석회제거술은 회전근개 힘줄에 발생한 석회성 병변과 염증을
제거하는 수술로
주로 관절 내시경 수술로 진행됩니다.

비수술 치료를 해도 호전이 없거나, 석회 크기가 매우 크거나,
회전근개 파열 등의
다른 어깨 병변이 동반되었거나,
재발이 잦은 경우 등에 수술 치료를 고려합니다.

PRO의 수술치료는 다릅니다
  • 관절경 수술을 통한 작은 절개, 적은 출혈, 빠른 회복
  • 최소침습수술법을 통한 흉터 최소화
  • 부분마취로 합병증 감소와 환자 수술 안전성 향상
  • 어깨수술 후 체계적인 재활관리로 빠른 일상복귀
Pro youtube

영상으로 쉽게 이해하는
치료 가이드

유튜브 바로가기
Shoulder Fracture

어깨골절

어깨골절은 상완골, 쇄골, 견갑골 등 어깨관절을 구성하는
뼈가 부러지는 것을 말합니다.

스포츠 활동 증가로 어깨골절 발생도 증가하고 있으며,
골다공증이 있는 경우에는 가벼운 충격에도
골절이 쉽게 발생할 수 있어 주의가 필요합니다.

어깨골절 수술이 필요한 경우
최소침습수술로 흉터 걱정없이 진행합니다

어깨골절은 골절 부위와 형태,
뼛조각의 어긋남 정도에 따라 수술 여부가 결정됩니다.
골절이 심하게 어긋났거나 관절면까지 침범한 경우에는
수술적 정복과 고정이 필요할 수 있습니다.

대표적인 어깨골절

상완골 골절

상완골 골절은 어깨에서 팔꿈치까지 이르는 긴 팔뼈인 상완골이 부러진 상태입니다.
골절의 발생 위치에 따라 크게 세 가지로 분류됩니다.

  • 1

    근위부 골절 :
    상완골을 1/3으로 나누었을 때 어깨 쪽에 가까운 부분의 골절

  • 2

    간부 골절 :
    상완골을 1/3으로 나누었을 때 중간 부분 골절

  • 3

    원위부 골절 :
    상완골을 1/3으로 나누었을 때 팔꿈치 쪽에 가까운 부분의 골절

쇄골 골절

쇄골 골절은 흉골(가슴뼈)과 견갑골(어깨뼈)을 연결하는 긴 뼈인 빗장뼈가 부러진 상태입니다.
골절의 발생 위치에 따라 크게 세 가지로 분류됩니다.

  • 1

    근위부 골절 :
    몸통의 중앙쪽 부분 골절

  • 2

    간부 골절 :
    쇄골 중간 부분 골절

  • 3

    원위부 골절 :
    어깨쪽 끝부분 골절

Shoulder Fracture

비수술 치료,
언제 어떻게 할까요?

어깨골절은 골절의 위치와 양상, 뼈의 어긋남의 정도,
환자의 나이, 활동 수준, 골다공증 정도 등
여러가지 요소를 고려하여 비수술 혹은 수술 치료법을 결정하게 됩니다.
골절된 뼈의 어긋남(전위)이 심하지 않은 경우에는
비수술적인 치료만으로도 회복될 수 있습니다.

  • 고정치료

    보조기, 깁스, 8자 붕대 등을 활용해
    골절부위를 움직이지 않도록 안정시키는 방법으로
    약 4~8주간 고정치료 진행

  • 물리치료

    손상 부위의 부기와 통증을 줄이고,
    어깨 관절의 움직임을 서서히 회복하기 위한 치료

  • 재활치료

    어깨 근육과 인대의 기능을 정상화하고,
    일상생활 복귀를 위한 단계별 재활 프로그램을 제공

어깨골절의 수술적 치료

Calcific Tendinitis

어깨골절의 수술적 치료

어깨골절 수술은 뼈의 어긋남이 심하거나,
뼈가 여러 조각으로 부서진 분쇄 골절, 뼈가 피부를 뚫고 나온
개방성 골절 등의 경우에 필요합니다.

최소침습 금속판 고정술이란?

최소침습수술은 작은 절개만으로 골절된 뼈를
치료하는 수술법입니다.
수술 부위를 최소한으로 절개한 뒤
골절된 뼈를 원래 위치로 맞추고,
금속판과 나사못 등으로 단단하게 고정하는
내고정술로 진행됩니다.
주변 조직 손상을 최소화하여 작은 흉터만 남기고
빠른 회복이 가능합니다.

PRO의 수술치료는 다릅니다
  • 관절경 수술을 통한 작은 절개, 적은 출혈, 빠른 회복
  • 최소침습수술법을 통한 흉터 최소화
  • 부분마취로 합병증 감소와 환자 수술 안전성 향상
  • 어깨수술 후 체계적인 재활관리로 빠른 일상복귀
Pro youtube

영상으로 쉽게 이해하는
치료 가이드

유튜브 바로가기
Shoulder Impingement Syndrome

어깨에서 나는 ‘뚝뚝’ 소리, 어깨 충돌증후군

어깨 충돌증후군이란 어깨 힘줄인 회전근개가 어깨 위를 덮고 있는
견봉 뼈와 부딪혀서 염증과 통증을 유발하는 질환입니다.

견봉 아래와 회전근개 사이의 공간이 좁아져 회전근개와 견봉이
반복적으로 충돌하면서 질환이 발생합니다.

충돌증후군 방치 시 회전근개 파열 등
다른 어깨질환으로 발전 가능합니다

충돌증후군은 어깨를 들어올릴 때
어깨뼈(견봉) 아래 공간이 좁아지면서
힘줄이나 점액낭이 눌려 염증과 통증이 생기는 질환입니다.
이를 방치할 경우 힘줄이 반복적으로 마모되고 손상되면서
회전근개 파열 등 더 심각한 질환으로 이어질 수 있습니다.

충돌증후군의 원인과 증상은?

Shoulder Impingement Syndrome
충돌증후군의 원인과 증상

충돌증후군은 다양한 원인에 의해서 발생할 수 있습니다.
어깨관절의 반복적인 과사용, 노화로 인한 어깨 힘줄의 퇴행성 변화,
외상으로 어깨에 가해진 충격 등이 원인이 될 수 있습니다.
견봉의 구조가 선천적으로 구부러진 것도 원인이 될 수 있습니다.
특히, 어깨를 많이 사용하는 직업을 가진 노동자, 요리사, 운동선수 등에게서 더 잘 발생할 수 있습니다.

  • 반복적인 과사용
  • 퇴행성 변화
  • 외상으로 인한 충격

    충돌증후군의 증상

  • 팔을 들어올릴 때 심한 통증

  • 팔을 움직일 때 뚝뚝 소리가 나는 경우

  • 일상생활에서 머리감기, 옷입기 등의 동작이 불편해짐

  • 밤에 어깨통증으로 인한 수면장애

Shoulder Impingement Syndrome

비수술 치료,
언제 어떻게 할까요?

많은 어깨 질환은 초기 진단과 적절한 비수술 치료만으로도
통증 완화와 기능 회복이 가능합니다.

무리한 움직임이나 방치로 악화되기 전에,
조기에 치료를 시작하는 것이 무엇보다 중요합니다.

  • 약물 및 주사치료

    PRP, PDRN, 콜라겐, 히알루론산,
    프롤로테라피, 스테로이드 주사 등

  • 1:1 맞춤 도수치료

    물리치료사가 직접 손으로 관절을 움직여 기능을 회복

  • 질환별 운동치료

    운동을 통한 어깨 주변 근육 강화 및 기능 회복

  • 체외충격파 치료

    충격파를 이용한 조직 재생과 회복 촉진

어깨 충돌증후군의 수술적 치료

Shoulder Impingement Syndrome

어깨 충돌증후군의 수술적 치료

견봉성형술이란?

견봉 성형술은 견봉 아래 공간을 넓혀주어
견봉과 회전근개의 마찰을 방지하는 수술입니다.

주로 관절 내시경 수술로 진행되며, 튀어나온 견봉의 아랫뼈
부분을 매끄럽게 깎아내고
염증이 있는 점액낭을 제거합니다.

회전근개가 자유롭게 움직일 수 있는 충분한 공간이 있는지 확인 후 절개창을 봉합합니다.

PRO의 수술치료는 다릅니다
  • 관절경 수술을 통한 작은 절개, 적은 출혈, 빠른 회복
  • 최소침습수술법을 통한 흉터 최소화
  • 부분마취로 합병증 감소와 환자 수술 안전성 향상
  • 어깨수술 후 체계적인 재활관리로 빠른 일상복귀
Pro youtube

영상으로 쉽게 이해하는
치료 가이드

유튜브 바로가기